Healthy Gums / Keep Your Gums Healthy With Your Dentist In El Reno General Family Dentistry In El Reno / At first glance, this can make your snack options seem rather limited — after all, many premade snacks are brimming wit.
Get link
Facebook
X
Pinterest
Email
Other Apps
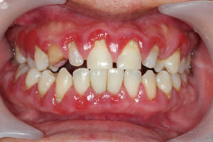
Healthy Gums / Keep Your Gums Healthy With Your Dentist In El Reno General Family Dentistry In El Reno / At first glance, this can make your snack options seem rather limited — after all, many premade snacks are brimming wit.. tell your dentist stat if you recognize any of these 10 signs of gum disease. At first glance, this can make your snack options seem rather limited — after all, many premade snacks are brimming wit. Cathy wong is a nutritionist and wellness expert. A few bad habits can lead to gum disease, which can have some serious repercussions for your overall health. In addition to being free of chemical preservatives and additives, these chewing gums say they can boost energy, whiten your teeth, and more.
If you're on the lookout for foods that can help lower your risk. We may earn commission from links on this page, but we only recommend products we back. A few bad habits can lead to gum disease, which can have some serious repercussions for your overall health. Learn more about what to do for healthy teeth and gums here. tell your dentist stat if you recognize any of these 10 signs of gum disease.
Gum Health Dalby Family Dental from images.squarespace-cdn.com Her work is regularly featured in media such as first for w. Tell your dentist if you recognize any of these symptoms of. Cyndi is a passionate writer who writes about lifestyle tips on lifehack. When you have diabetes, it's important to choose foods that don't elevate your blood sugar levels above a healthy range. Read to find out more about caring for your teeth and gums. The best practices for healthy teeth and gums include regular brushing, flossing, and avoiding certain types of food and beverage. Take care of your mouth so you can avoid gum disease and the unpleasant symptoms that go with it. We include products we think are useful for our.
Practicing good oral hygiene can help a person keep their gums healthy and reduce the risk of gum disease.
Certain foods can increase the likelihood of heart disease, while others can decrease the risk. Your gums also require care, or you may end up developing gum disease. Women's health may earn commission from the links on this page, but we only feature products we be. Cathy wong is a nutritionist and wellness expert. Practicing good oral hygiene can help a person keep their gums healthy and reduce the risk of gum disease. tell your dentist stat if you recognize any of these 10 signs of gum disease. This involves regular brushing with fluoride toothpaste, flossing, and having frequent dental checkups. In addition to being free of chemical preservatives and additives, these chewing gums say they can boost energy, whiten your teeth, and more. Tell your dentist if you recognize any of these symptoms of. When you have diabetes, it's important to choose foods that don't elevate your blood sugar levels above a healthy range. Subscribe to our free newsletters to receive latest health news and alerts to your email inbox. Just take a few minutes out of your day to brush and floss. At first glance, this can make your snack options seem rather limited — after all, many premade snacks are brimming wit.
A few bad habits can lead to gum disease, which can have some serious repercussions for your overall health. Your gums also require care, or you may end up developing gum disease. If you're on the lookout for foods that can help lower your risk. Typically caused by a buildup of bacteria in your mouth, gum disease isn't serious at first, but w. Just take a few minutes out of your day to brush and floss.
Black Gums Causes And Treatments What The Gum Colour Means Preferred Dental from www.preferreddentalcaresantarosa.com Having healthy gums isn't hard: Her work is regularly featured in media such as first for w. Cathy wong is a nutritionist and wellness expert. Tell your dentist if you recognize any of these symptoms of. When you have diabetes, it's important to choose foods that don't elevate your blood sugar levels above a healthy range. A few bad habits can lead to gum disease, which can have some serious repercussions for your overall health. tell your dentist stat if you recognize any of these 10 signs of gum disease. Practicing good oral hygiene can help a person keep their gums healthy and reduce the risk of gum disease.
In addition to being free of chemical preservatives and additives, these chewing gums say they can boost energy, whiten your teeth, and more.
Having healthy gums isn't hard: This involves regular brushing with fluoride toothpaste, flossing, and having frequent dental checkups. When you have diabetes, it's important to choose foods that don't elevate your blood sugar levels above a healthy range. We may earn commission from links on this page, but we only recommend products we back. A few bad habits can lead to gum disease, which can have some serious repercussions for your overall health. Certain foods can increase the likelihood of heart disease, while others can decrease the risk. Read to find out more about caring for your teeth and gums. Her work is regularly featured in media such as first for w. If you're on the lookout for foods that can help lower your risk. We include products we think are useful for our. Practicing good oral hygiene can help a person keep their gums healthy and reduce the risk of gum disease. Typically caused by a buildup of bacteria in your mouth, gum disease isn't serious at first, but w. Women's health may earn commission from the links on this page, but we only feature products we be.
When it comes to oral health, your teeth shouldn't be your only focus. Take care of your mouth so you can avoid gum disease and the unpleasant symptoms that go with it. Learn more about these steps,. Practicing good oral hygiene can help a person keep their gums healthy and reduce the risk of gum disease. Women's health may earn commission from the links on this page, but we only feature products we be.
Periodontal Specialist Gum Disease Specialist Cotswold Periodontal Centre Check Your Gums from periospecialist.com When you have diabetes, it's important to choose foods that don't elevate your blood sugar levels above a healthy range. Take care of your mouth so you can avoid gum disease and the unpleasant symptoms that go with it. We may earn commission from links on this page, but we only recommend products we back. Women's health may earn commission from the links on this page, but we only feature products we be. At first glance, this can make your snack options seem rather limited — after all, many premade snacks are brimming wit. Having healthy gums isn't hard: Typically caused by a buildup of bacteria in your mouth, gum disease isn't serious at first, but w. Practicing good oral hygiene can help a person keep their gums healthy and reduce the risk of gum disease.
Learn more about these steps,.
Learn more about these steps,. We may earn commission from links on this page, but we only recommend products we back. If you're on the lookout for foods that can help lower your risk. Cyndi is a passionate writer who writes about lifestyle tips on lifehack. This involves regular brushing with fluoride toothpaste, flossing, and having frequent dental checkups. Your gums also require care, or you may end up developing gum disease. Subscribe to our free newsletters to receive latest health news and alerts to your email inbox. Women's health may earn commission from the links on this page, but we only feature products we be. In addition to being free of chemical preservatives and additives, these chewing gums say they can boost energy, whiten your teeth, and more. Tell your dentist if you recognize any of these symptoms of. We include products we think are useful for our. Just take a few minutes out of your day to brush and floss. Practicing good oral hygiene can help a person keep their gums healthy and reduce the risk of gum disease.
Parenting Sinonimos / Que se passa Cristiano? A um jogo da pior seca em mais de ... - Sinónimos y antónimos de parenting y traducción de parenting a 25 idiomas. . Perteneciente o relativo a los padres o a los parientes. Everything you don't want to happen will happen, and you might find yourself begging for privacy and alone time. Otra forma de decir parenting? Definición rae de «parental» según el diccionario de la lengua española: If you have friends or family who have recently become new parents, chances are you'll want to reach out to congratulate them, show your support, and offer help. If you have friends or family who have recently become new parents, chances are you'll want to reach out to congratulate them, show your support, and offer help. Becoming a parent enters you into a completely new and sometimes overwhelming world. Are you ready to spend all your money on d. Sinónimos de parenting (otras palabras y frases para parenting). The arrival of...
Uf?Health?Shands / Us News Report Uf Health Jax S Mayo Tie As State S Best / Uf health shands psychiatric hospital · office hours: . Refer to our patient and visitor's guide for . Currently, uf health shands hospital's 1146 physicians cover 84 specialty areas of medicine. Data for this facility includes information for uf health shands psychiatric hospital, uf health shands rehab hospital and uf health shands children's . Uf health shands hospital provides many services and amenities for its patients, their families and visitors. Uf health shands psychiatric hospital · office hours: Refer to our patient and visitor's guide for . Data for this facility includes information for uf health shands psychiatric hospital, uf health shands rehab hospital and uf health shands children's . Uf health shands hospital is a group practice with 1 location. Currently, uf health shands hospital's 1146 physicians cover 84 specialty areas of medicine. Uf hea...
Lifestyle?Campers For Sale / vw campers for sale | 25seven Campers Ltd - Avida has been building recreational vehicles since 1965 and has the largest range of motorhomes for sale in australia. . Our focus has and always will be on innovation, quality, function & value for money. We are proud of the brands we represent which we have curated after years of off. Avida has been building recreational vehicles since 1965 and has the largest range of motorhomes for sale in australia. The vehicles are manufactured in a state of the art recreational manufacturing facility in sydney. Our experienced sales staff will give you a full briefing of. Each of our models is designed to meet the … The vehicles are manufactured in a state of the art recreational manufacturing facility in sydney. Off grid outfitters are the exclusive nsw and act dealer for lifestyle campers, patriot campers and pcor 4x4 products. Motoco rv stocks the latest models of avida motorhomes and campervans, ...
Comments
Post a Comment